Breakthrough Combination Therapy Significantly Boosts Leukemia Cell Death
Breakthrough Combination Therapy Significantly Boosts Leukemia Cell Death

Recent research from the VCU Massey Comprehensive Cancer Center has unveiled promising data that could alter the treatment landscape for acute myeloid leukemia (AML), a particularly aggressive and often lethal form of leukemia. This breakthrough centers on the interaction between MCL-1 (myeloid leukemia cell-1) inhibitors and SRC kinase inhibitors, suggesting a synergistic effect that could enhance the efficacy of these treatments in provoking cell death among AML cells.
AML is infamous for its dismal prognosis, characterized by a median survival rate of less than nine months and a meager five-year survival rate that hovers around 30%. These alarming statistics emphasize the urgent need for novel therapeutic strategies to tackle this disease, which has proven resistant to many existing treatments. This urgency has propelled researchers at VCU into exploring innovative combinations of therapies that target cancer’s survival mechanisms.
In their recent publication in the esteemed journal Signal Transduction and Targeted Therapy, the research team led by Steven Grant, M.D., delineated how a combination of MCL-1 inhibitors with SRC inhibitors can effectively dismantle the cancer cells’ evasive maneuvers. Traditional MCL-1 inhibitors have shown promise in preclinical studies by blocking the function of MCL-1, a critical protein that helps leukemia cells maintain their survival by preventing apoptosis. However, the problem remains that while these inhibitors repress MCL-1, they also inadvertently lead to an accumulation of this protein, thereby thwarting their intended effects.
Dr. Grant’s research team has made significant strides in counteracting this paradoxical phenomenon. By employing SRC inhibitors, which target an oncogene linked to cell proliferation and survival, the researchers demonstrated that this combination inhibits the unwanted accumulation of MCL-1, thereby restoring the efficacy of MCL-1 inhibitors. This strategic approach provides hope for addressing the escape pathways cancer cells utilize to survive treatment.
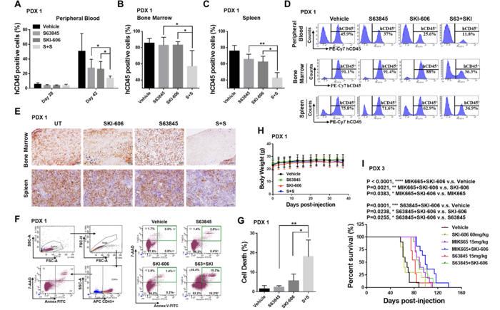
The collaboration between these two classes of drugs not only appears to improve the effectiveness of MCL-1 inhibitors but does so while exhibiting a preference for killing the AML cells over normal cells. This is an essential feature in cancer treatment, as the ability to differentiate between cancerous and non-cancerous cells is crucial to minimize adverse effects and maximize therapeutic potential. The mouse models utilized in their research indicated that this combination was not only tolerable but also significantly prolonged survival in subjects harboring patient-derived tumor xenografts.
The implications of these findings extend far beyond mere statistical improvements. Dr. Grant and his team envision a future where this combination therapy can be tested in clinical trials, particularly for patients with relapsed or refractory AML, who often grapple with a dearth of effective treatment options. Such advancements are integral in transforming how healthcare providers approach AML management.
Moreover, the insights gleaned from this study shed light on the complexities of signaling pathways that facilitate cancer cell survival. The research reveals additional factors at play when SRC inhibitors are coupled with MCL-1 antagonists, suggesting that there could be several unexplored mechanisms of action contributing to their anti-leukemic efficacy. Comprehensive analyses of these cellular pathways could further guide subsequent therapeutic strategies aimed at other hematologic malignancies, thereby expanding the horizons of cancer treatment.
A major roadblock for clinical application of MCL-1 inhibitors lies in their association with cardiac complications, a concern that could discourage their use in treatments. Fortunately, pharmaceutical companies are actively developing newer MCL-1 inhibitors that may offer a safer profile with fewer side effects. The combination of these advancements with SRC inhibitors could usher in a groundbreaking approach to treating AML, bolstering the medical community’s arsenal against this formidable disease.
The collaboration of various researchers highlights the collective effort needed to pioneer such significant advances in cancer therapy. With a range of contributors from the Massey Cancer Center and VCU School of Medicine, as well as input from external collaborators, the project reflects a multidisciplinary approach—a hallmark of modern scientific inquiry that is increasingly essential in addressing complex medical challenges like cancer.
In summary, the research conducted at VCU Massey Comprehensive Cancer Center offers a beacon of hope for those affected by acute myeloid leukemia. As the study illustrates the power of innovative drug combinations to produce a definitive cellular response in AML cells, it also underscores the necessity for ongoing research aimed at unraveling the intricacies of leukemia’s resistance mechanisms. With these promising findings, the gravitational center of cancer treatment is gradually shifting toward combination therapies that not only thwart cancer cell survival but also enhance patient quality of life, nurturing the aspiration for more effective and safer oncology treatments.
The research community remains vigilant, seeking validation of these findings in clinical settings. The implications of such breakthroughs can lead to a change in therapeutic paradigms, hoping to provide a fighting chance against one of the most challenging cancers known. As the landscape of cancer treatment evolves, the narrative of AML is being rewritten with every new discovery, promising a future where survival rates are no longer a matter of chance but a matter of treatment efficacy.
Subject of Research: Acute Myeloid Leukemia Treatment Innovations
Article Title: Src inhibition potentiates MCL-1 antagonist activity in acute myeloid leukemia
News Publication Date: February 10, 2025
Web References: Nature Journal
References: DOI – 10.1038/s41392-025-02125-x
Image Credits: Xiaoyan Hu et al
Keywords: Acute Myeloid Leukemia, MCL-1 inhibitors, SRC inhibitors, Leukemia treatment, Combination therapies, Cancer survival strategies.
Young Star Clusters Generate Rogue Planet-Mass Objects
Next PostTexas-France Space Hub Set to Revolutionize Space Commerce and Research
Non-Coding RNAs Crucial in Topotecan Cancer Response

