CT colonography outperforms stool DNA testing in colon cancer screening, new study reveals
CT colonography outperforms stool DNA testing in colon cancer screening, new study reveals

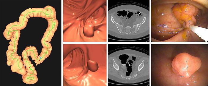
In a groundbreaking comparative study published recently in Radiology, researchers have unveiled that CT colonography (CTC) surpasses multitarget stool DNA (mt-sDNA) testing both in clinical efficacy and cost-effectiveness for colorectal cancer screening. Given colorectal cancer’s stature as the second leading cause of cancer-related mortality worldwide, advancements in screening modalities have immense potential to alter patient outcomes and healthcare economics substantially. This study sheds light on how CT colonography may redefine colorectal cancer detection and prevention amidst evolving screening guidelines and expanding Medicare coverage.
Colorectal cancer often develops from precancerous polyps, which remain asymptomatic for years before progressing to invasive malignancies. Early identification and removal of these polyps are pivotal in disrupting this progression chain. Optical colonoscopy has long been the gold standard due to its ability to not only visualize but also resect lesions during a single procedure. However, colonoscopy’s invasive nature, bowel preparation demands, and relatively high cost have spurred the development and Medicare endorsement of alternative screening techniques. Among these, mt-sDNA testing analyzes fecal samples for genomic and epigenomic biomarkers indicative of neoplastic changes, while CT colonography non-invasively images the entirety of the colon and rectum using computed tomography.
The study, led by Dr. Perry J. Pickhardt of the University of Wisconsin School of Medicine and Public Health, deployed a robust Markov model simulation to evaluate the lifetime outcomes of screening 10,000 hypothetical 45-year-old individuals, a cohort aligned with recent guidelines reducing the screening initiation age to 45 years. This simulation graphically modeled the natural course of colorectal disease progression and the impact of screening interventions over a 30-year horizon under perfect adherence assumptions. The analysis incorporated annual intervals defining health states based on lesion sizes and presence of cancer, thus capturing disease dynamics with remarkable granularity.
Findings strikingly revealed that both mt-sDNA and CT colonography significantly reduce colorectal cancer incidence compared with no screening. However, CT colonography demonstrated an impressive 70 to 75 percent reduction in cancer incidence, outperforming the 59 percent reduction associated with stool DNA testing. This differential outcome primarily derives from CT colonography’s superior polyp detection ability and its potential to uncover lesions that stool-based tests might miss. Moreover, CTC provides detailed anatomical mapping that facilitates targeted follow-up interventions, thereby enhancing earlier-stage cancer prevention.
Economic evaluation employed Quality-Adjusted Life Years (QALYs) to quantify the balance between life longevity and quality post-intervention—an essential metric when contrasting preventive strategies. While mt-sDNA testing was found to be cost-effective relative to no screening at approximately $9,000 per QALY gained, CT colonography did not merely reach cost-effectiveness; it was cost-saving. This means that adopting CT colonography reduces overall healthcare expenditures by preventing costly, advanced-stage treatments, thus providing an economic incentive alongside its clinical benefits.
Intriguingly, the study extended its analysis to explore variations within CT colonography screening protocols, especially concerning the management of small polyps (6–9 mm). Traditional CT colonography practices referral of any polyps equal to or larger than 6 mm for optical colonoscopy, but this approach was found less cost-effective than a hybrid strategy involving a three-year surveillance interval for small polyps combined with colonoscopy referrals exclusively for larger lesions. The economic rationale behind this finding reflects the expense and patient burden of colonoscopies for small polyps that yield minimal incremental health gains when followed by immediate polypectomy.
Beyond the direct colorectal insights, CT colonography’s versatility emerged as an ancillary benefit, as Dr. Pickhardt highlighted its capacity for extracolonic evaluations. The modality can incidentally detect conditions such as osteoporosis and cardiovascular abnormalities during routine colorectal screening, thereby offering a broader health assessment opportunity. This integrative advantage could influence physicians and payers regarding the value proposition of CT colonography relative to stool testing.
This research arrives at a crucial juncture as U.S. medical societies adjust screening recommendations amid rising colorectal cancer diagnoses in younger populations under 50 years old. Balancing efficacy, patient adherence, and healthcare resource utilization is paramount. The less invasive nature of both CT colonography and mt-sDNA testing addresses patient compliance issues common with optical colonoscopy, but the superior clinical and cost performance of CT colonography, as demonstrated here, renders it a compelling option for widespread adoption.
It is essential to recognize that perfect adherence to screening and follow-up in the simulation might not fully reflect real-world patient behavior. However, this assumption standardizes the comparison and highlights the intrinsic strengths and weaknesses of each modality. Subsequent studies may aim to incorporate variable adherence rates and patient preferences to validate and contextualize these findings in clinical practice.
With Medicare expansions now covering mt-sDNA and CT colonography, these data provide influential insight for policy makers and healthcare systems. The adoption of CT colonography as a primary screening method could potentially alleviate the economic burden of colorectal cancer care while improving early detection rates. Furthermore, refining surveillance protocols based on polyp size may optimize resource use and patient experience without compromising outcomes.
In conclusion, this pivotal analysis establishes CT colonography as a cost-saving and clinically advantageous screening test over stool DNA testing for colorectal cancer. Its high sensitivity for large adenomas, potential to perform comprehensive extracolonic assessments, and cost-saving properties make it a transformative option in the array of colorectal cancer screening strategies. As colorectal cancer remains a major global health challenge, such advancements in screening could drive substantial reductions in mortality and healthcare costs, ultimately changing the landscape of cancer prevention.
Subject of Research: Not applicable
Article Title: CT Colonography versus Multitarget Stool DNA Test for Colorectal Cancer Screening: A Cost-Effectiveness Analysis
News Publication Date: 10-Jun-2025
Web References:
- https://pubs.rsna.org/journal/radiology
- https://www.rsna.org/
- http://www.radiologyinfo.org
Image Credits: Radiological Society of North America (RSNA)
Keywords: Colon cancer, Radiology, Health care costs
AI Bridges the Productivity Gap
Next PostGlobal Oncology Experts Convene in Kenya to Tackle Regional Cancer Challenges
Mentally Strained and Enduring Physical Cold: A Scientific Perspective

