Refining Classification of Pediatric Bone Marrow Myelofibrosis: Understanding Its Heterogeneity to Improve Treatment Strategies
Refining Classification of Pediatric Bone Marrow Myelofibrosis: Understanding Its Heterogeneity to Improve Treatment Strategies

Pediatric bone marrow myelofibrosis (MF) represents a rare and perplexing hematological disorder that demands urgent attention from the medical community. Characterized by the simultaneous presence of cytopenia, systemic symptoms, and inevitable bone marrow fibrosis, this condition showcases a striking variability in clinical presentations and responses to therapies. Unlike adult MF cases, which are better studied, pediatric MF remains poorly characterized, resulting in diagnostic and therapeutic challenges. Healthcare professionals face hurdles due to the condition’s unusual etiologies and the ambiguous nature of its histopathological features. This complexity necessitates a refined classification system to better approach diagnosis and treatment.
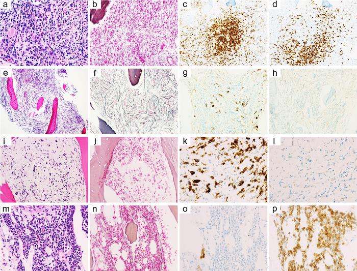
Bone marrow biopsy findings are a cornerstone in evaluating pediatric MF, often revealing a range of histological features. Initial biopsies may show mild hypercellularity accompanied by mild to moderate fibrosis, while subsequent evaluations can demonstrate significant variability in medullary cellularity and levels of fibrosis. Markers such as CD79a and CD3 are used to identify the presence of B and T lymphocyte aggregates, offering vital insights into the immune landscape of the bone marrow. This highly dynamic nature of the disease calls for serial biopsies to track changes over time, especially when managing the treatment trajectory.
Primary myelofibrosis in children is of particular concern, accounting for a small fraction of chronic myeloproliferative neoplasms. Most reports indicate a male predominance, with a median age of diagnosis around 3.4 years. Despite this awareness, the rarity of such cases contributes to a significant knowledge gap in understanding their biological behavior. Studies have identified mutations in CALR and MPL, alongside classic drivers like JAK2, although many pediatric cases remain triple-negative, making treatment decisions more complicated. Current classification systems do not adequately distinguish pediatric from adult PMF, given the shared features of disease presentation, necessitating further research into the development of unique diagnostic criteria for the younger population.
Myelofibrosis secondary to non-neoplastic or neoplastic disorders is more prevalent in pediatric patients compared to primary MF. Autoimmune myelofibrosis (AIMF) stands out as a significant etiology among non-neoplastic causes, particularly in children with concurrent autoimmune syndromes. The pathophysiology often leads to spontaneous resolution or responsiveness to immunomodulatory treatments. Histologically, AIMF exhibits mild-to-moderate fibrosis and is devoid of somatic mutations in JAK2, MPL, and CALR, thereby distinguishing it from its primary counterparts. Consequently, the identification of lymphoid aggregates and polytypic plasmacytosis aids in setting apart AIMF from primary forms of myelofibrosis.
In the realm of neoplastic causes, myelofibrosis can emerge as a component of hematological malignancies, including acute myeloid leukemia (AML), myelodysplastic syndromes (MDS), and lymphomas. The presence of fibrosis and cytopenia adds layers of complexity in diagnosing these conditions correctly. Accurate differentiation between MDS and PMF is particularly elusive due to shared features such as atypical megakaryocyte morphology. A comprehensive approach involving chromosomal abnormalities and somatic mutations is paramount to distinguishing between these disorders, emphasizing the need for advanced diagnostic techniques.
Idiopathic myelofibrosis frequently emerges as a diagnosis of exclusion once PMF and secondary MF are ruled out. Pediatric cases labeled as idiopathic often reflect a broader spectrum of underlying conditions, ranging from hematologic malignancies to autoimmune disorders. This highlights the importance of exhaustive diagnostic work-ups, as several patients initially categorized under this umbrella may later manifest acute leukemia or other complications. Following such progression requires thorough monitoring, including regular bone marrow biopsies and molecular studies to inform treatment approaches effectively.
The uniqueness of pediatric MF lies in its heterogeneous nature, which inherently complicates clinical management. This sporadic occurrence across diverse subtypes makes it imperative for clinicians to adopt a multidisciplinary strategy, integrating clinical, histological, and genetic findings into a coherent framework that guides therapy. The recent proposition of a diagnostic algorithm aims to streamline these processes, enhancing the ability to classify and manage pediatric MF effectively.
Additionally, multicenter collaborations are essential in unifying efforts to establish standardized guidelines and protocols to treat this rare condition. By pooling resources and data, the scientific community can enhance the quality of research and improve outcomes for affected children. Engaging in extensive clinical trials and observational studies will undoubtedly result in richer insights into the disease, thereby paving the way for tailored therapeutic strategies.
In summary, pediatric myelofibrosis encompasses a complex array of disorders that challenge existing paradigms of diagnosis and treatment. Its rarity and the variability in clinical presentations underscore the urgency for more refined classification mechanisms that push the boundaries of our understanding. By taking a holistic and collaborative approach, the medical field stands a better chance at unraveling this intricate disease, ultimately striving towards improving the quality of life and outcomes for these young patients navigating such challenging diagnoses.
Subject of Research: Pediatric Bone Marrow Myelofibrosis
Article Title: Pediatric Bone Marrow Myelofibrosis: A Heterogeneous “Entity” Requiring Refined Classification to Guide Therapy
News Publication Date: 23-Dec-2024
Web References: https://dx.doi.org/10.14218/JCTP.2024.00035
References:
Image Credits: Jinjun Cheng
Keywords: Pediatric myelofibrosis, bone marrow biopsy, autoimmune myelofibrosis, chronic myeloproliferative neoplasms, hematologic malignancies, classification systems.
Decoding the Origins of Exceptionally Bright Quantum Emitters
Next PostDeep Learning Revolutionizes Adaptive Navigation in Microswarms
Non-Coding RNAs Crucial in Topotecan Cancer Response

